news お知らせ

2026.03.05 ブログ

金沢市で歯科医院を探している方へ|後悔しない歯科医院の選び方

コンビニより多い歯科医院

日本には数多くの歯科医院が存在し、その数はコンビニよりも多いと言われています。

『歯が痛い・・・』『あまり歯医者行けてないからそろそろ行かないと・・・』

そう思っても、実際、たくさんある歯科医院の中から、どこの歯科医院に行くのが良いんだろうと迷った事がある方は多いのではないでしょうか。

今回は、よく聞くこの質問に少しでも皆さんの参考になればと思い解説していきます!


おすすめできる歯科医院の特徴

✔︎ 術前術後にしっかりと資料を取る
✔︎ 今の現状や未来の可能性についてしっかり説明してくれる
✔︎ 説明した上で、どの選択肢が良いか一緒に考えてくれる

これらの、特徴に当てはまる歯科医院がおすすめ!

✔︎ 術前術後にしっかりと資料を取る 歯科医院とは

資料(口腔内写真やレントゲン写真)を治療前や治療後に撮影する歯科医院では、その治療一つ一つを丁寧に行なっている事が多いです。その証明と記録のために写真やレントゲンを撮っているので、信頼できる大きなポイントです!!!

資料を取ることに対して
・時間がかかる
・余分な費用がかかる?
と思い方もいるのではないでしょうか?


しかし、資料を撮らずに治療をするということは、現代においては、ナビ🗺️を使用せずに、目的地に行くようなもので、なんとなくや感覚で治療しているに近いのです。

また、術後の資料は術前との比較、そして数ヶ月、数年後との比較の対象になるため、非常に重要な資料となります。

✔︎ 今の現状や未来の可能性についてしっかり説明してくれる 歯科医院とは

先に説明した資料を元に『現状のお口の状態がどうなっているのか』を説明があるかどうかは、今後治療を受ける上で非常に重要だと思います。

実際に、治療を受けるかどうかは患者さん自身が最終決定することなので、どれだけその説明に納得できるか、そもそも説明がない場合などは、要注意です。もしわからないことなどは患者さん側から質問するのも良いと思います。

また、現状だけではなく『未来の話があるか?』も非常に重要なポイントの一つです。

多くの方が、今後、歯やお口の事で悩みたくないと考えていると思います。
そんな中で、治療には2種類の目的が存在します。
①今現在とりあえず症状や現状を改善する治療
②数年後に歯が悪くならないように、また数年後の未来を見越した治療


①と②が一致する場合もあれば、①と②が一致しない場合もあります。歯を大切にしたい、今後できるだけ自分の歯を守りたいと思う方は、②数年後に歯が悪くならないように、また数年後の未来を見越した治療の話があるかをチェックしましょう!

✔︎ 説明した上で、どの選択肢が良いか一緒に考えてくれる 歯科医院とは

患者さんとお話ししていると

『知らないうちに神経を抜かれていた』『歯を抜かれた』『気づいたら銀歯になっていた』

などのお話をよく耳にします。これは、歯科医院側も説明はしているつもりでも患者さんに理解されていない場合もあると思います。

治療には、虫歯治療といっても、プラスチックで詰めるだけの治療や、銀歯やセラミックを使う治療など様々な治療があります。また、保険診療では全ての治療を行う事ができないので、より高度な器具、機材、知識を用いて行う自由診療など患者さんには選択肢はたくさんあります。


①自由診療も含めて、理想を求める治療
②自由診療と保険診療をミックスして優先順位をつける治療
③保険診療をメインに行う治療

これらの例のように、選択肢をいくつか提示してくれ、自分がより納得できる治療を選べる歯科医院はとてもおすすめできるポイントだと思います!


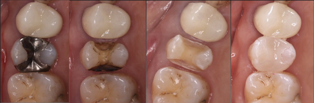
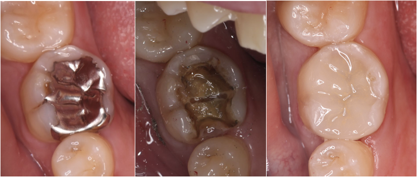
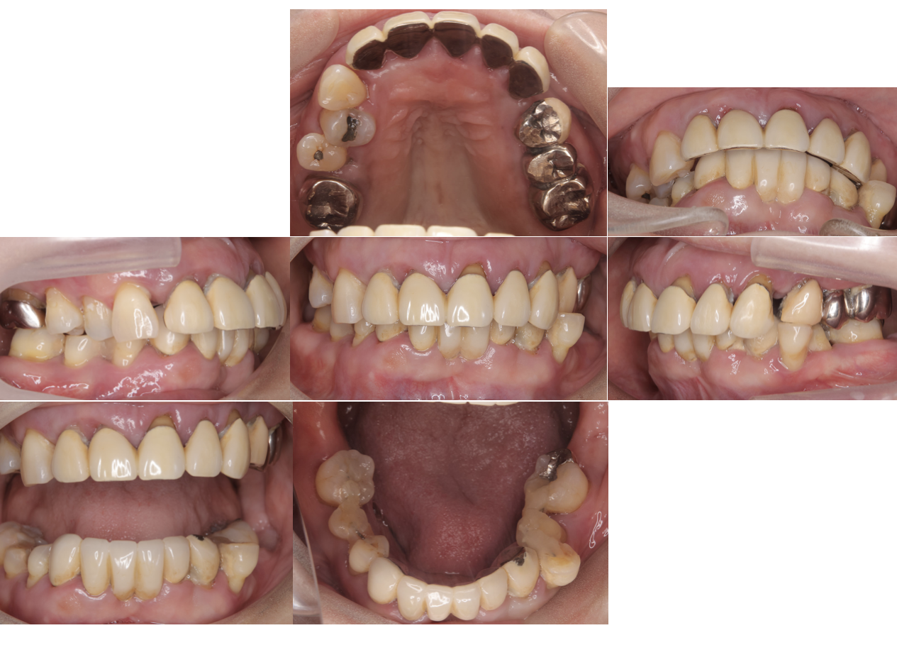
参考例

初診時の口腔内写真

当院でもこのような術前の写真を撮影し、個々の歯の虫歯、歯周病の状態、お口の全体の、歯並び、噛み合わせの状態などについてもご説明しております。写真を使って、目で実際に見ることで、話で説明を聞くだけよりも理解力が上がり、自身の歯やお口のことについて理解が深まりやすいと思います!

またこのように、治療中の写真なども撮影しながらより自分の歯がどういう状態からどういう状態になったのかを目で見て理解していただきながら治療を受けていただくことでより安心して通院していただけると思っています。


当院は2026年8月、金沢市横川にて歯科医院を新規開業いたします。子供からお年寄りまで様々な方に健康をお届けできるように取り組んでまいります。また、一般歯科からインプラント治療、矯正治療、小児歯科治療、噛み合わせ治療など専門性の高い治療についても自院にてご提供できるように取り組んでおります。お困りごとがございましたら、お気軽にご相談ください✨

インスタグラムで情報や症例を発信中です!
投稿が良いと思った方はトップページ下部から✔︎してみてください✨

『この記事の監修者:金澤リッツおとな・こども歯科 院長 山下陽次朗』