news お知らせ

2026.02.01 ブログ

銀歯は虫歯が再発しやすい?|二次虫歯の原因と予防法を歯科医師が解説

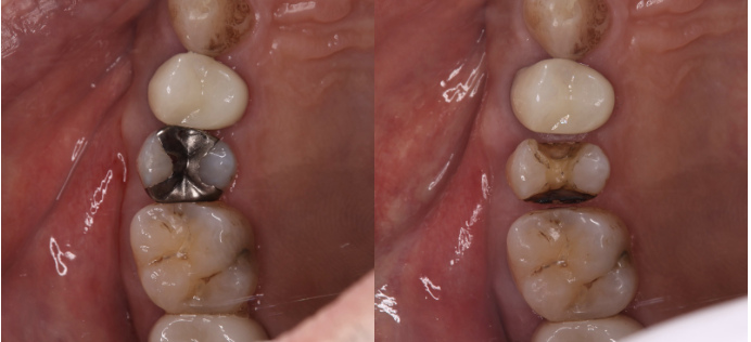
銀歯治療とは?

銀歯とは、虫歯治療の一つで、虫歯を除去したのちに詰める材料の一つです。銀歯と言われることが多いですが、実際は、金、銀、パラジウム、銅、亜鉛など様々な金属が混ざった合金です。銀歯は、強度が強く、製作時の金属の操作性の良さから日本では古くから使用されてきた材料です。しかし、その銀歯には虫歯の再発リスクを抱えているのです。


2次虫歯

2次虫歯とは、一度虫歯治療した歯が再度虫歯になることを言います。虫歯治療を行う際に使用する詰め物は、金属プラスチックセラミックの3種類の素材が一般的に使用されます。その中でも、特に金属は虫歯の再発リスクが高いと言われています。

2次虫歯を防ぐ意味

歯は、虫歯治療を繰り返すたびに弱くなり、最終的には弱った歯が折れたり、虫歯が重症化し抜歯に至るのです。2次虫歯を防止する事は、歯を長持ちさせることに繋がります。一度、虫歯になってしまったことは無かったことにはできませんがこれからいかに虫歯の再発、2次虫歯を予防できるかが需要なのです!


なぜ銀歯は虫歯の再発リスクが高い?

銀歯は時間と共に

劣化しやすい

歯と詰め物の間に隙間が生じる

ことから歯と銀歯の隙間に虫歯菌が侵入し、銀歯の中で虫歯の再発が起こりやすいのです。実際に、銀歯の装着から5~7年後には虫歯の再発リスクが高いと言われています。

中には、痛みなどの症状が無いのに、虫歯が進行している場合もあります。

また銀歯は

時間と共に表面が荒れる

歯との境界に段差ができやすい

ことなどからプラークと呼ばれる汚れが溜まりやすい素材です。そのため、銀歯の周りは汚染された状態になりやすく、虫歯リスクが高い環境になりやすいのです。


2次虫歯を予防するには?

銀歯を詰めたからといって必ず虫歯になるとは限りません!虫歯のリスクを理解し、どういった予防を行うかが重要になります。また銀歯以外の詰め物の場合も以下のポイントに注意する事は重要です。

⒈丁寧なブラッシングで汚れをしっかり落とす

銀歯の周りにはプラーク(汚れ)が溜まりやすいです。そのため、歯茎の際や歯と歯の間など、銀歯と歯の境になる部分も丁寧に磨きましょう。また、歯と歯の間は、歯ブラシだけでは磨くことが難しいため、フロス(糸ようじ)を使用することでより確実に汚れを落としましょう!

⒉定期検診で予防・早期発見/早期治療

ご自身でのブラッシングでは、どれだけ頑張っても磨き残しが出てしまいます。歯科医院でのプロフェッショナルケアを行う事で、より細部まで丁寧に汚れを落とし、虫歯のリスクを下げましょう!また、定期検診では、ケアだけでなく、銀歯と歯の隙間のチェックや虫歯の進行の有無、必要な場合はレントゲンを撮るなどして、できるだけ早期発見・早期治療を心がるのがおすすめです。また、神経が無い歯に関しては、より痛みや違和感を感じにくいのでより早期発見・早期治療が重要です。

⒊銀歯を使用しないメタルフリー治療

歯科では、昔から銀歯を多く使用してきました。しかし、近年ではセラミックやプラスチックといった銀歯以外の素材を使用することが増えてきました。メタルフリー治療では、虫歯の再発リスクの低下、銀歯も用いない審美性の向上、金属アレルギーの心配もありません。


詰め物を選ぶ基準

詰め物は『金属』『プラスチック』『セラミック』の3種類があります。

これらを選ぶ基準は

虫歯の再発リスク

詰め物の強度

詰めた後の見た目【審美性】

金属アレルギーリスク

の4つを加味して選択するのが一般的です。

これまで虫歯治療の経験が多い方はできるだけ虫歯になりにくいセラミック、詰める範囲が小さい、浅い場合はプラスチック、非常に噛む力が強い方は金属、審美性重視の方はセラミックなどそれぞれのお口の中の状況やどのメリットを取るかによって異なります。当院では、患者様それぞれに合わせてどの詰め物が最適なのかをご相談し、治療を進めています。

詰め物の種類とそれぞれの徹底比較については別のブログで紹介します!


日々診療していて

『気づいたら金属の詰め物が入っていた』

『相談などは特に無かった』

という患者さんの声があります。当院では、その歯の状態やそれぞれの詰め物の特徴、その方の噛み合わせや虫歯のリスクなどを加味し、一人一人に合った治療をご提案しております。虫歯でこれまで困ってき方や、これから虫歯になりたく無い方、しっかり予防していきたい方などお気軽に当院へご相談いただければと思います。


当院は2026年8月、金沢市横川にて歯科医院を新規開業いたします。子供からお年寄りまで様々な方に健康をお届けできるように取り組んでまいります。また、一般歯科からインプラント治療、矯正治療、小児歯科治療、噛み合わせ治療など専門性の高い治療についても自院にてご提供できるように取り組んでおります。お困りごとがございましたら、お気軽にご相談ください✨

インスタグラムで情報や症例を発信中です!
投稿が良いと思った方はトップページ下部から✔︎してみてください✨

『この記事の監修者:金澤リッツおとな・こども歯科 院長 山下陽次朗』