news お知らせ
ブリッジ治療 実は危険かも?|ブリッジ治療の特徴と潜む危険について徹底解説
ブリッジ治療とは?

ブリッジ治療とは・・・
ブリッジ治療は、失ってしまった歯の両隣にある歯を「橋げた」にして、人工の歯を橋のように架ける治療法です。歯科用セメントでがっちりと固定するため、自分の歯に近い感覚でしっかり噛めるのが特徴です。
ブリッジ治療の歴史
ブリッジ治療は入れ歯と違い、固定式の治療であるため、古くから入れ歯よりもより快適な治療として世界的に多く行われてきた治療です。
ブリッジ治療の良い点
✔︎セメント固定式で、ご自身の歯と近い感覚で過ごせる ✔︎比較的短期間で治療ができる
✔︎外科処置の必要がない ✔︎セラミックの素材を選べば、見た目を自然に治療できる
ブリッジ治療の悪い点
✔︎『橋げた』となる土台の歯を大きく削る必要がある ✔︎歯の神経を取る場合がある
✔︎土台の歯に過剰な力がかかり歯の破折につながる可能性がある
✔︎銀歯の素材だと、見た目、金属アレルギーリスク、虫歯の再発リスクなどがある
ブリッジ治療の危険な一面とは?

↑上記の写真は、ブリッジの土台の歯が破折し、歯が抜歯になった一例である
全ての症例がこのような未来になるわけではないが、リスクとしては上がってしまう。歯の欠損が多くなれば、さらに残った歯に負担がかかり、同じく歯の破折が起こるリスクがさらに上がってしまう。
特に注意が必要な方
①歯の神経が無い歯がブリッジの土台になっている場合
神経が無い歯は、歯を削っていたり、神経を除去した歯は枯れ木のように脆くなってしまう

②上顎前突、下顎前突、開咬、叢生など噛む力をうまく分散できない噛み合わせの方
これらの噛み合わせに問題がある方の場合、ブリッジの土台となる歯により過剰な力がかかるため、土台の歯がより破折しやすい

③歯ぎしりや食いしばりの癖がある方
これらの癖は歯に過剰な力がかかる要因の一つで、これらの癖が原因で歯の破折が起こることは多々ある

ブリッジに変わる、インプラント治療とは

『インプラント治療』という言葉を皆さん一度は耳にしたことがあるのでは無いでしょうか?
なぜ、近年インプラントという言葉をよく耳にするようになってきたのか、そこには理由があります。
『噛める』だけではない、インプラントのメリット
インプラント治療は歯槽骨に人工歯根(インプラント)を植え込み、その上に歯を作る治療方法です。これまで、歯を失った場合に行う治療は、義歯(入れ歯)治療、ブリッジ治療の2択でした。しかし、これらの2つの治療は歯を失った部分はダミーの歯で、その歯では天然の歯に比べて噛む力をしっかりと支えることができませんでした。そして、その結果、残った周りの歯に過剰な負担がかかり、歯を失う可能性が高まってしまっていたのです。
インプラント治療の進歩で、ただ噛めるだけではなっただけではなく、人工歯根が噛んだときの力を支え、周りの歯に過剰な負担がかかることを予防できるようになったのです。
ブリッジの土台が破折し、抜歯になってしまった方に対して、インプラント治療を用いて治療した1例
患者様は初診時に左下の第一小臼歯の痛みを主訴に来院されました。

適切な診断を行うためにレントゲン写真を撮影したところ、完全にブリッジの土台となる歯が破折していることが確認できました。
破折した歯は感染源となり、腫れや痛みの原因になる場合が多く、今回も痛みがあり、すでに感染が広がっていたので、患者様と相談の上、破折歯は抜歯を行うこととしました。

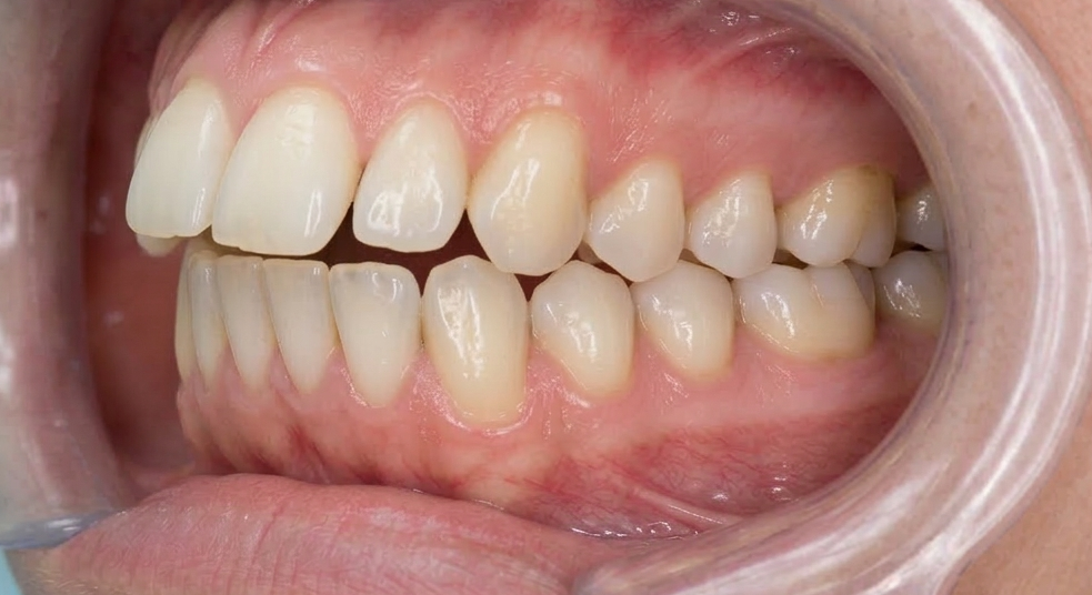
抜歯後3ヶ月時の口腔内写真

患者様は歯の欠損による見た目の問題、噛む能力の低下の問題とブリッジの土台を抜歯した場合、今回のように欠損歯数が増えてしまい、残っている歯に過剰な負担がかかり、さらに歯の欠損が増えていってしまう可能性が上がる問題などを考慮し、インプラント治療にて欠損部を補うこととしました。

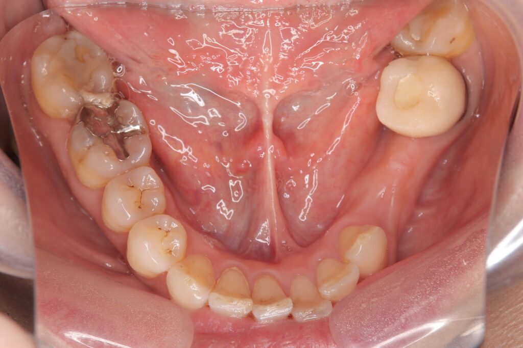
インプラント治療後の写真とレントゲン写真
インプラント治療により、自然な見た目で、ご自身で取り外す必要がなく快適に過ごすことができるようになったと考える。また、インプラント治療により人工歯根が噛む力を支える柱となり、その他の歯に過剰な負担がかかるリスクを軽減できたと考える。
治療の費用・期間・リスクについて
費用【税込】:約100万
内容:下顎左側第一小臼歯、第二小臼歯に対するインプラント治療
期間:6ヶ月(抜歯を含む)
リスク・副作用
・外科処置(インプラント・歯周外科)に伴う痛み、腫れ、出血の可能性があります
・インプラントは天然歯よりも歯周病に弱いので、継続的なプロフェッショナルケアと徹底したセルフケアが不可欠です。
当院は2026年8月、金沢市横川にて歯科医院を新規開業いたします。子供からお年寄りまで様々な方に健康をお届けできるように取り組んでまいります。また、一般歯科からインプラント治療、矯正治療、小児歯科治療、噛み合わせ治療など専門性の高い治療についても自院にてご提供できるように取り組んでおります。お困りごとがございましたら、お気軽にご相談ください✨


インスタグラムで情報や症例を発信中です!
投稿が良いと思った方はトップページ下部から✔︎してみてください✨
『この記事の監修者:金澤リッツおとな・こども歯科 院長 山下陽次朗』
